Servicios
Estudios que ofrecemos en Grupo Ars Dens
Hemos cuidado tu salud dental por más de 19 años


Desde el año 2005
Prestamos servicios de calidad
Nos esforzamos en ofrecer un servicio transparente, confiable y seguro, donde la excelencia y la atención al detalle son nuestros pilares fundamentales
Innovación
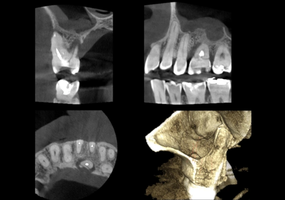
Planmeca ProMax® 3D Classic
Nuestra unidad Planmeca ProMax® 3D Classic cubre toda la dentadura, lo que la convierte en una excelente opción para las necesidades de imágenes 3D del arco dental completo
- Tamaño de volumen ampliado
- Corrección de artefactos por movimiento
- Vea hasta el más mínimo detalle
- Obtención de imágenes CBCT con dosis ultrabaja
- Tecnología SCARA flexible
- Escaneo de modelos 3D de gran eficacia

Nuestros equipos: Planmeca ProMax® 3D Classic
Calidad de imágen - Imágenes Tomográficas
Contáctenos hoy para programar su consulta y descubra cómo nuestras avanzadas capacidades de imagenología pueden beneficiar su salud bucal.




